Главная
/
Фотоотбеливание зубов
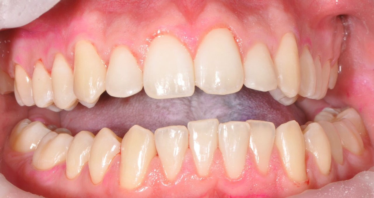
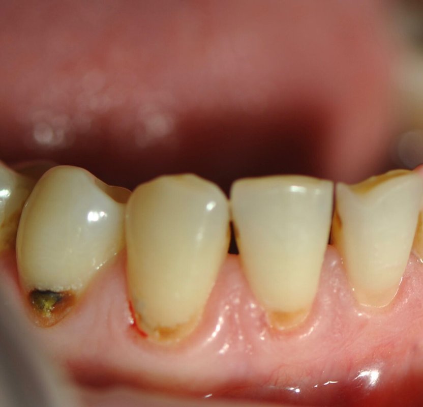
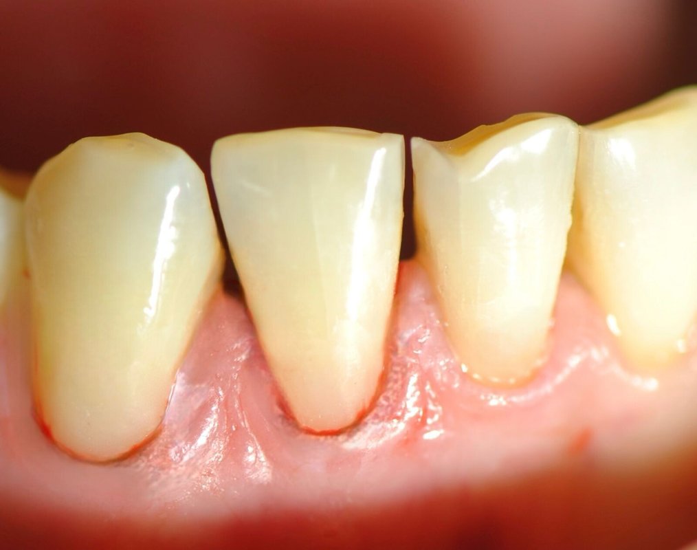
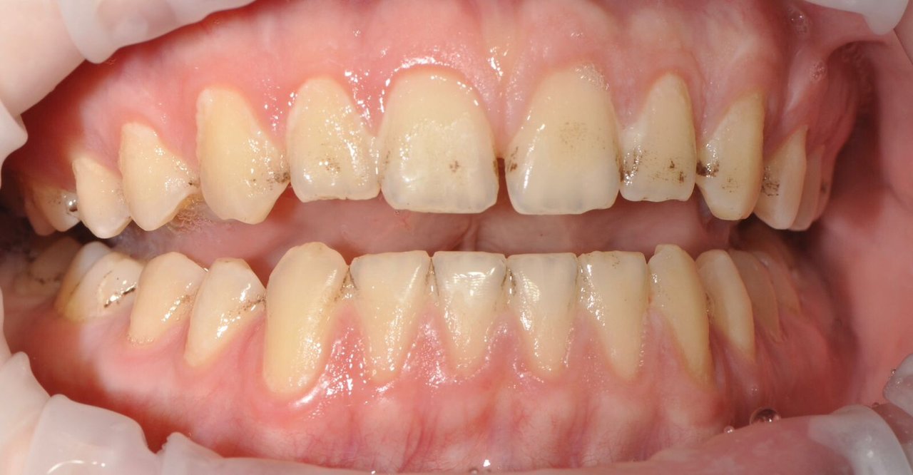
Фотоотбеливание зубов в Стоматологии Дентомо Клиник
Акции и скидки
Чек ап полости рта за 7500 КТ + скан + ии отчет Dentomo
Срок действия
Постоянная акция
Проф. гигиена Air flow + консультация по отбеливанию
Срок действия
Постоянная акция
Новая возможность - рассрочка и кредит от Т Банка. Спешите
Срок действия
Постоянная акция
Myray Diagnostica — КТ на технологии ии
Срок действия
Постоянная акция
Фотогалерея
Отзывы
5,0
Елена Шатохина
Прекрасные врачи, хорошее место. Уже много лет лечусь у Лейлы - она отличный доктор и прекрасный человек. Больше 20-ти лет наблюдаюсь у неё, всем довольна: работой и отношением. Вот, в прошлый раз мне коронку ставили - всё сделали отлично.
25 декабря 2025 Отзыв взят с сайта Zoon.ru
5,0
Ольга
Врачи здесь работают настолько хорошо, что я была приятно удивлена. Я уже несколько лет хожу к Евгению Анатольевичу, и он действительно мастер своего дела, всегда помогает решить любые проблемы со здоровьем. В клинике очень уютно, все современное и чистое, а сотрудники встречают с улыбкой, поэтому я чувствую себя комфортно.
25 декабря 2025 Отзыв взят с сайта Zoon.ru
5,0
Арина
Мне все понравилось во время лечения зуба. Доктор очень понятно все объяснил, все аккуратно сделал, мне было не больно. В общении врач очень приятный, общительный, дружелюбный.
25 декабря 2025 Отзыв взят с сайта Zoon.ru
5,0
Дарья
Я хожу сюда благодаря профессионализму врачей клиники. Абсолютно все выполняют качественно и доброжелательность на высоте. Врачи Елена Вадимовна Теркулова и Евгений Анатольевич просто прелесть! Посещаю клинику раз в год для проверки, недавно была на чистке.
24 декабря 2025 Отзыв взят с сайта Zoon.ru
5,0
Тимур
Доктор хороший, видно, что он профессионал своего дела, я остался доволен. Делал чистку у Лейлы Гивиевны, потом удаление у Евгения Анатольевича, оба врачи компетентные. Очень грамотные и приветливые, вежливые специалисты.
24 декабря 2025 Отзыв взят с сайта Zoon.ru
5,0
Максим
Уже несколько лет хожу к своему доктору - Лейла Закарая, она меня полностью устраивает. В последний раз мне устраняли кариес и меняли пломбы, хотя детали я уже не очень хорошо помню. Мне нравится качество её работы и её профессионализм. Меня радует её личностный подход, она точно знает, что нужно делать.
22 декабря 2025 Отзыв взят с сайта Zoon.ru
5,0
Елена
Качество обслуживания нас полностью устроило. Мы давно наблюдаемся у одного врача, Андрея Владимировича и именно к нему ходим. Нашему ребенку устанавливали брекеты, перед этим сделали КТ-снимки. Ребенок посещает клинику каждый месяц с начала года. Встречают нас всегда замечательно.
19 декабря 2025 Отзыв взят с сайта Zoon.ru
5,0
Ирина
Врач Селезнев Владимир оперативно провел консультацию. Небольшая коррекция пластины прошла без дискомфорта, и дочь чувствовала себя спокойно во время процедуры.
12 декабря 2025 Отзыв взят с сайта Zoon.ru
5,0
Елена
Я давно знаю Закарая Лейла Гивиевна и мне очень нравится, как она работает - все ее консультации и действия всегда на высоком уровне. В этот раз ставили пломбы, сделали все грамотно. Сама клиника очень удобная, компактная, приятная - чистенько и аккуратненько. Отдельно радует, что рядом с метро, легко добираться.
11 декабря 2025 Отзыв взят с сайта Zoon.ru
5,0
Федор Борисенко
Я был в клинике полгода назад, мне делали чистку зубов и поставили 2 пломбы. Мои пломбы до сих пор на месте, никуда не делись. Я пришёл за своим знакомым врачом, с которым мне всегда было приятно работать. Персонал в клинике тоже оставил очень приятное впечатление!
10 декабря 2025 Отзыв взят с сайта Zoon.ru
5,0
Сергей
Хороший специалист Лейла, знаю ее уже года 3-4. Делает все на совести, отлично относится к пациентам, располагает к себе. Обращался за пломбированием - все прошло хорошо.
5 декабря 2025 Отзыв взят с сайта Zoon.ru
5,0
Ольга Улькина
В клинике отличный интерьер и подход врачей. Я была на консультации у ортодонта, доктор хороший, явно профессионал, панорамно смотрит на ситуацию.
5 декабря 2025 Отзыв взят с сайта Zoon.ru
5,0
Дина
У нас была конкретная проблема, с которой мы приходили, пломбировали зуб ребенку. Я довольна результатом, хорошей работой врача. Доктор Лейла проявила профессионализм, доброту и хороший подход к ребенку. Она установила с ним отличный контакт, что для нас, как родителей, было очень приятно.
24 ноября 2025 Отзыв взят с сайта Zoon.ru
5,0
Анонимный пользователь
Высокий профессионализм у врачей, особенно отмечаю Виталия Константиновича. С ним меня связывает давнее знакомство и именно к нему я обращаюсь, потому что он настоящий мастер и замечательный человек.
20 ноября 2025 Отзыв взят с сайта Zoon.ru
5,0
Карина
Обслуживание и быстрота ответа меня очень порадовали, администратор всегда быстро отвечает - даже через WhatsApp можно связаться. Я была в клинике 2 раза: сначала на консультации, потом мне удаляли зуб. После удаления дала свой контакт, чтобы уточнять вопросы, доктор отвечала, работа мне понравилась - совсем не болело, все зажило прекрасно.
17 ноября 2025 Отзыв взят с сайта Zoon.ru
5,0
Ирина
Специалисты клиники проявили повышенную внимательность и аккуратность во время удаления зуба. Хотя я аллергик и анестетик плохо действует, врачи тщательно подобрали препарат и сделали всё максимально безболезненно. Я боялась долгой и мучительной процедуры, но всё прошло быстро и комфортно. Доктор дал подробные рекомендации после удаления: избегать физических нагрузок 3 дня, не полоскать рану и не трогать йодовую сетку. Несмотря на некоторые болезненные ощущения, связанные с моими особенностями, я осталась довольна профессиональным подходом и уже записана на следующий приём.
10 ноября 2025 Отзыв взят с сайта Zoon.ru
5,0
Анонимный пользователь
Работа клиники и врачей на отлично. Обращался к двум врачам, делали чистку и подклейку брекетов. В целом все устроило, сложно выделить что-то одно.
10 ноября 2025 Отзыв взят с сайта Zoon.ru
5,0
Анна
Понравился приветливый персонал, а также удобное расположение офиса. Я отметила чистоту и отношение врача, плюс мне был важен его опыт. Доктор подробно расписал план лечения, где четко описал все возможные пути развития, что дало мне понимание выбора.
6 ноября 2025 Отзыв взят с сайта Zoon.ru
5,0
Светлана
Я езжу через весь город к определенному врачу, Евгению Соловых, это того стоит. Врач меня полностью устраивает, все делает качественно, вовремя, ничего не болит, имплант приживается отлично. В общении он тоже замечательный, всегда интересуется, как я себя чувствую, все ли в порядке.
2 ноября 2025 Отзыв взят с сайта Zoon.ru
5,0
Анжела
Лечила и удаляла зубы, очень довольна высококлассными врачами Лейлой и Евгением Анатольевичем Соловых. Прием прошел хорошо, а рекомендации по лечению получаю уже давно, так как лечусь у этих докторов в разных клиниках. Особенно отмечаю высокое качество услуг, что сейчас большая редкость.
2 ноября 2025 Отзыв взят с сайта Zoon.ru
5,0
Анонимный пользователь
Мне делали чистку, доктор проявил себя как профессионал своего дела, работал хорошо. Вежливость и доброжелательность доктора сделали обслуживание приятным.
1 ноября 2025 Отзыв взят с сайта Zoon.ru
5,0
Елена
Доктор проявил высокий профессионализм, на консультации по вопросу удаления и имплантации быстро разобрался в моей сложной ситуации. Дал четкие и правильные советы. Общение было приятным: врач вежливый, воспитанный, доброжелательный.
1 ноября 2025 Отзыв взят с сайта Zoon.ru
5,0
София
В клинике приятный интерьер и доброжелательные сотрудники, администратор и доктор сразу объяснили, что нужно делать. Провели консультацию, сделали снимок, который прислали на почту буквально через 5 минут. Также порекомендовали удалить восьмерки, но это было необязательно.
1 ноября 2025 Отзыв взят с сайта Zoon.ru
5,0
Марина
Хорошее качество обслуживания в клинике, персонал вежливый и общительный. Особенно понравилось, что можно договориться об удобном времени приема. Врач Лейла - профессионал своего дела, позитивная и коммуникабельная. В целом, отличный сервис, ходим к этому врачу уже давно и будем продолжать.
1 ноября 2025 Отзыв взят с сайта Zoon.ru
5,0
Марина Яшина
Всей семьей лечимся в клинике, удаляем зубы и планируем протезироваться. В последний визит я приходила на лечение, где делали обезболивающие уколы и пломбировали каналы. Доктора Елена Вадимовна и Евгений Анатольевич наши любимые специалисты: они профессиональные, компетентные, спокойные и внушают доверие. Елена Вадимовна тщательно лечит каналы, чтобы сохранить зуб, добивается нужного результата, а Евгений Анатольевич без последствий удаляет зубы.
31 октября 2025 Отзыв взят с сайта Zoon.ru
5,0
Анонимный пользователь
Я хожу к доктору Андрею Владимировичу уже давно, после каждого посещения чувствую себя лучше. Считаю, что он грамотный специалист. Недавно приходила за стандартной коррекцией и КТ, которое делают в соседнем кабинете. Каждое посещение сопровождается новыми рекомендациями, потому что это динамичный процесс - снимают и добавляют тяги, корректируют высоту зубов. В общем, каждый раз есть что-то новое и полезное. Мне порекомендовали врача, и теперь я подтверждаю, что в клинике действительно профессионально подходят к делу.
31 октября 2025 Отзыв взят с сайта Zoon.ru
5,0
Алена
Ребенок проходил ортодонтическое лечение в этой клинике, где нам встретились квалифицированный врач и внимательный администратор. Весь процесс прошел комфортно благодаря дружелюбной атмосфере и профессиональному подходу специалистов. Обстановка в клинике создавала ощущение заботы и уюта, что особенно важно при лечении детей.
28 октября 2025 Отзыв взят с сайта Zoon.ru
5,0
Наталья
Я обратилась в клинику для установки имплантов, процедуру провели успешно. Сейчас идет период приживления, пока все проходит хорошо, без каких либо проблем. Результатом довольна.
27 октября 2025 Отзыв взят с сайта Zoon.ru
5,0
Марина Васильевна
Уже больше десяти лет я лечу зубы у Виталия Константиновича и каждый раз получаю качественное обслуживание. В июне провели профессиональную чистку, все прошло на высоком уровне.
27 октября 2025 Отзыв взят с сайта Zoon.ru
5,0
Антон
Мне устанавливали пломбу, все прошло отлично. Уже много лет хожу к доктору Фотинову, он всегда меня устраивает. Дает рекомендации, комментирует свои действия, всё понятно и качественно.
25 октября 2025 Отзыв взят с сайта Zoon.ru
5,0
Анонимный пользователь
Хочу отметить идеальную организацию лечебного процесса в клинике и красивый интерьер, который действительно помогает отвлечься от переживаний. Лейла Закарая является настоящим профессионалом своего дела!
24 октября 2025 Отзыв взят с сайта Zoon.ru
5,0
Ольга
Уже около 10 лет я являюсь пациенткой Виталия Константиновича и продолжаю к нему обращаться независимо от того, в какой клинике он работает. Даже когда он меняет клинику, то я следую за ним. Нравится его профессиональный подход и то, как внимательно он относится к каждому пациенту.
24 октября 2025 Отзыв взят с сайта Zoon.ru
5,0
Анонимный пользователь
Меня этой стоматологии ведет знакомый врач Андрей Владимирович Селезнев, с которым я работала и в других медицинских учреждениях. У меня сломалась капа, доктор изготовил новую совершенно бесплатно. Вообще все манипуляции проводятся оперативно, иногда даже без взимания дополнительной оплаты. На ресепшене встречают очень приветливо и доброжелательно, общение с администраторами приятное. Клиника находится в удобном месте, близко к станции метро.
23 октября 2025 Отзыв взят с сайта Zoon.ru
5,0
Себастьян Переро
Доктор Мадлен была просто великолепна, все сделала четко. Во-первых, квалифицированный специалист, во-вторых, приятный человек в общении. Место хорошее, приветливые сотрудники. Я всем доволен.
17 сентября 2025 Отзыв взят с сайта Zoon.ru
5,0
Ксения
Пришла на замену пломбы и лечение - осталась довольна! Врач Елена провела работу аккуратно, всё сделали быстро и безболезненно. После процедуры никакого дискомфорта не ощущала. Особенно понравилось, что доктор подошла к делу ответственно: уточняла детали, спрашивала о самочувствии. Приятно, когда специалист проявляет внимание к пациенту.
12 сентября 2025 Отзыв взят с сайта Zoon.ru
5,0
Ольга
Очень довольна уровнем специалистов в клинике! Врачи настоящие профессионалы, дают грамотные консультации и отлично разбираются в своем деле. Мне ставили пломбы и коронку - работа выполнена просто на отлично. Еще порадовало, что записаться на прием удалось без проблем и долгих ожиданий.
12 сентября 2025 Отзыв взят с сайта Zoon.ru
5,0
Анастасия
Я была у Лейлы на чистке и консультации, осталась в полном восторге! Всё прошло легко, без малейшего дискомфорта. Клиника понравилась с первых минут, уютная атмосфера, удобное расположение и, конечно, профессионализм врача. Теперь всей семьёй посещаем только эту клинику.
12 сентября 2025 Отзыв взят с сайта Zoon.ru
5,0
Анонимный пользователь
Мне ставили коронку у доктора Евгения Анатольевича, хочу отметить - всё прошло очень быстро и чётко. Слепок и снимок были сделаны с такой точностью, что коронка села просто идеально. Даже не пришлось привыкать, никакого дискомфорта или чувства постороннего предмета во рту не возникло - всё получилось с первого раза. Работу врача могу смело назвать превосходной!
12 сентября 2025 Отзыв взят с сайта Zoon.ru
5,0
Наталья
Сейчас прохожу ортодонтическое лечение у врача из данной стоматологии. Специалист работает профессионально, всегда терпеливо и подробно объясняет все этапы. В самой клинике очень уютно и приятно находиться - чистота и порядок заметны повсюду. Недавно была на приеме, примерно неделю назад, и собираюсь дальше продолжать лечение. Пришла по совету друзей, так как у меня давняя история с этим вопросом, я осталась очень довольна качеством обслуживания.
11 сентября 2025 Отзыв взят с сайта Zoon.ru
5,0
Наталья
Все понравилось: сама клиника и специалист, обслуживание. Прием стоматолога был просто замечательно проведен.
10 сентября 2025 Отзыв взят с сайта Zoon.ru
5,0
Мария Федотова
Раньше я уже проходила лечение у терапевта в этой клинике, поэтому решила вернуться сюда снова. Обстановка тут очень комфортная, меня полностью устроил уровень обслуживания. Врач тщательно прочистил и запломбировал мои каналы, благодаря чему проблема была устранена. Всё было сделано профессионально, оперативно и без каких-либо неприятных ощущений.
5 сентября 2025 Отзыв взят с сайта Zoon.ru
5,0
Елена
Делали большую работу: лечение, удаление, потом протезирование, весь процесс занял около полугода. Врачи работали внимательно и профессионально, всё сделали качественно и удобно. Особенно порадовала аккуратность и то, что учли все мои пожелания.
4 сентября 2025 Отзыв взят с сайта Zoon.ru
5,0
Евгения
Этот стоматолог по-настоящему оправдал все мои ожидания - и по качеству работы, и по отношению к пациенту, и по внимательности. Мне устанавливали штифт, и пока никаких нареканий, всё прошло гладко и без проблем. Пришла сюда по рекомендации и ни разу не пожалела!
3 сентября 2025 Отзыв взят с сайта Zoon.ru
5,0
Дарья
Клиника находится в очень удобном месте, что для меня большой плюс. Мой врач - настоящий профессионал, посещаю его уже не раз. Всегда доходчиво объясняет, дает честные рекомендации без лишнего давления. Недавно проходила чистку зубов – осталась в полном восторге от результата!
2 сентября 2025 Отзыв взят с сайта Zoon.ru
5,0
Валентина
Я очень давно обслуживаюсь у Евгения Анатольевича Соловых, и мне всё абсолютно устраивает. Он настоящий профессионал — порядочный, уважительный, спокойный, всегда отвечает на все вопросы так, что не остается никаких сомнений. Качество, своевременность и общение — всё на высшем уровне. У него просто нет равных!
28 августа 2025 Отзыв взят с сайта Zoon.ru
5,0
Вячеслав
Всем доволен, было здорово и великолепно. Совокупность впечатлений: приятное приветствие, персонал, который встречает, чистая и светлая обстановка, доброжелательность всех работников, с которыми имел возможность работать, и качество услуг. За последний год ставили пломбу и коронку.
27 августа 2025 Отзыв взят с сайта Zoon.ru
5,0
Михаил
Мне понравилось дружелюбное отношение. Доктор Евгений Анатольевич Соловых доброжелателен, заинтересован в своей работе. Я был просто на осмотре для установки импланта, но мне показалось что врач профессионал. Мне сделали рентген, результат отдали в течении трёх минут и дали рекомендации
25 августа 2025 Отзыв взят с сайта Zoon.ru
5,0
Ольга Зуева
Посещаем клинику всей семьей, но только ради Елены Вадимовны это врач от бога, комфорт, чистота, качество, а после лечения доктор всегда интересуется о самочувствии - это бесценно. Красивая и здоровая улыбка всей семьи. Спасибо вам зубная фея Елена Вадимовна🙏
23 августа 2025 Отзыв взят с сайта Zoon.ru
5,0
Беляева Наталья
Лечилась у Евгения Анатольевича и Елены Вадимовны, также проходила профгигиену у Елены. Евгений Анатольевич лечит как боженька, идеально удаляет зубы, ставит коронки, все делает идеально. Елена Вадимовна отличный терапевт, все делает отлично и никогда не навязывает ничего лишнего.
23 августа 2025 Отзыв взят с сайта Zoon.ru
5,0
Александр
Профессиональная работа докторов — все быстро, четко и по разумной цене. Особенно понравилась уверенность врача в своих действиях и качество работы после проведенного лечения. Доктор Евгений Анатольевич Соловых, Елена Владимировна Теркулова и его коллега на высшем уровне!
23 августа 2025, отредактирован 25 августа 2025 в 17:38 Отзыв взят с сайта Zoon.ru
5,0
Юлия
Недавно посетила ортодонта, лечение у которого продолжается уже достаточно долго, и пока я еще в процессе. Прием прошел отлично: врач был очень вежливым и подробно отвечал на все мои вопросы. Особенно радует, что визиты начинаются точно по расписанию, а в клинике всегда чисто и аккуратно. Свою стоматологию выбрала именно эту, ведь наблюдаюсь у этого специалиста еще с тех пор, как клиника только открылась.
22 августа 2025 Отзыв взят с сайта Zoon.ru
5,0
Анонимный пользователь
В стоматологии вежливый персонал, который хорошо относится к клиентам и качественно помогает. Удаление зуба прошло прекрасно, без осложнений. Конечно, многое зависит от индивидуальных особенностей, но в моем случае все сошлось хорошо.
21 августа 2025 Отзыв взят с сайта Zoon.ru
5,0
Ирина
Меня в принципе все устроило. Все сделано отлично, по прошествии времени хуже не стало, все как и было. Результатом протезирования осталась довольна. Варианты протезирования доктор подбирал с учетом моих пожеланий. Клинику и доктора выбирала по рекомендации тех, кому доверяю. Мое доверие было оправдано
20 августа 2025 Отзыв взят с сайта Zoon.ru
5,0
Кристина
Всё было хорошо, доктор — молодчик, всё просто замечательно. Врач проявил профессионализм и умение работать. У меня была сложная ситуация с тяжелым зубом, требовалось наращивание костной ткани, и не все брались за это, но доктор смог решить мою проблему так, как я хотела.
20 августа 2025 Отзыв взят с сайта Zoon.ru
5,0
Оксана
Профессионализм и уважение персонала, а также чистота в клинике оставили очень приятное впечатление. Стоматолог на приеме был очень внимательный и душевный, а помощники работали сплоченно.
19 августа 2025 Отзыв взят с сайта Zoon.ru
4,0
Ирина
Отмечу прекрасное отношение врача к пациентам! Евгений Анатольевич был со мной внимателен, давал консультации и рекомендации, вставлял зубки. В клинике всегда чисто, персонал приветливый и вежливый. Меня по рекомендации знакомой. Записались быстро, в целом всё отлично.
19 августа 2025 Отзыв взят с сайта Zoon.ru
5,0
Василий
Спасибо за здоровую улыбку и отсутствие страха! Рекомендую Теркулову Е.В.
Хочу поделиться своими впечатлениями от лечения у стоматолога-терапевта Теркуловой Елены Вадимовны. Это был один из самых положительных опытов посещения зубного врача в моей жизни!Елена Вадимовна – не просто отличный специалист, но и замечательный, отзывчивый человек. С первого приема она создала атмосферу доверия и спокойствия. Объяснила проблему очень доступно, предложила варианты решения, ответила на все мои многочисленные вопросы без тени раздражения.
Само лечение прошло на удивление легко и совершенно безболезненно. Врач работает очень аккуратно, внимательно и с полной концентрацией на пациенте. Порадовало использование современных материалов и методик.
Но главное – это отношение. Понимание, терпение, доброжелательность и искреннее желание помочь. Благодаря Елене Вадимовне мой страх перед стоматологическим креслом значительно уменьшился.
Результатом лечения я очень доволен. Все сделано качественно, эстетично и надежно.
Огромное спасибо Елене Вадимовне за ее профессионализм, чуткость и золотые руки! Я смело рекомендую ее как прекрасного стоматолога-терапевта всем своим знакомым и друзьям!
17 августа 2025 Отзыв взят с сайта Zoon.ru
5,0
Na Li
Хочу выразить огромную благодарность Теркуловой Елене Вадимовне! Это, без преувеличения, самый лучший стоматолог-терапевт в моей жизни! Что меня особенно впечатлило:
- Высочайший профессионализм и мастерство: Елена Вадимовна обладает потрясающей точностью и аккуратностью. Каждое ее движение выверено. Лечение сложного кариеса и восстановление зубов проходило на таком уровне, что результат превзошел все ожидания – зубы выглядят абсолютно естественно и здорово.
- Безболезненность: благодаря современным методикам анестезии и бережному подходу доктора, все манипуляции прошли максимально комфортно. Страх перед стоматологом ушел навсегда.
- Внимание и забота: Елена Вадимовна – очень чуткий и отзывчивый врач. Она всегда подробно объясняет диагноз, план лечения, отвечает на любые вопросы, не торопит. По-настоящему переживает за результат и комфорт пациента.
- Современное оборудование и материалы: чувствуется, что доктор в курсе последних достижений стоматологии и использует лучшие материалы и технологии.
Елена Вадимовна – врач от Бога. Она сочетает в себе невероятное мастерство, такт, терпение и искреннее желание помочь. Такого уровня врачи – большая редкость. Огромное спасибо за ваш труд, внимание и мои здоровые зубы! Рекомендую всем, кто ценит качество, комфорт и профессионализм!
17 августа 2025 Отзыв взят с сайта Zoon.ru
5,0
Наталья Беляева
По-моему, это лучшая стоматология в Москве. Команда профессионалов, которые любят свое дело и всегда стремятся к развитию и улучшению качества обслуживания (хотя куда уж лучше))). Лечимся всей семьей у Елены Вадимовны уже более 10 лет. Это лучший стоматолог-терапевт. Ручки волшебницы. Делает все нежно, аккуратно и качественно. Пломбы, которые она ставит, будут стоять вечно. Никогда не навязывает лишних процедур, всегда внимательно осматривает ваш рот и не пропустит ни одного даже самого невидимого кариеса. Делает самые лучшие проф. гигиены и отбеливания зубов. Одним словом - богиня стоматологии. Рекомендую к посещению! Идите все к Теркуловой Елене Вадимовне
17 августа 2025 Отзыв взят с сайта Zoon.ru
5,0
Наталья
Обслуживание в клинике просто супер! Врачи очень хорошие, особенно доктор Андрей Владимирович Селезнёв — он добрый, внимательный, всегда спрашивает, как я себя чувствую, удобно ли мне, всё ли нравится. Мне установили брекеты, и каждый месяц я приезжаю на коррекцию — всё делают качественно и с заботой. Записаться на приём очень удобно и быстро, время всегда подобрано отлично. Персонал приветливый, атмосфера добрая. Выбрала эту стоматологию по отзывам и ни разу не пожалела!
12 августа 2025 Отзыв взят с сайта Zoon.ru
5,0
Валерия
Хороший врач, приятное обслуживание, красивая обстановка в стоматологии. Я занималась установкой брекетов и каждый месяц прихожу менять резиночки на них. Радует качественная работа и отличный результат. Доктор Андрей Владимирович проявил себя как профессионал с чувством юмора и честностью. Кабинет хорошо обустроен, чисто, нет неприятных запахов. В дамской комнате есть все необходимое для комфорта.
8 августа 2025 Отзыв взят с сайта Zoon.ru
5,0
Евгения
Выбираю эту клинику, потому что давно тут наблюдаюсь, приятно находиться там. Хорошая современная клиника с профессиональными врачами и новой аппаратурой. Лечение зубов и чистка прошли отлично, врачи были внимательны и заботливы, дали индивидуальные рекомендации. Результат хороший, всё сделали, что нужно. Кабинет, кстати, был оборудован прекрасно.
6 августа 2025 Отзыв взят с сайта Zoon.ru
5,0
Евгений
Меня впечатлили оперативность работы, качество и скрупулезность Евгения Анатольевича. Всё было сделано оптимально как по времени, так и по результату. Во время имплантации я чувствовал внимательность и профессионализм врача. Услуга оказана качественно!
4 августа 2025 Отзыв взят с сайта Zoon.ru
5,0
Наталья
Мне все понравилось в клинике, я уже давно наблюдаюсь здесь. В первую очередь привлекают врачи, особенно Евгений Анатольевич Соловых — настоящий профессионал, прекрасно общается с клиентами. Очень довольна!
4 августа 2025 Отзыв взят с сайта Zoon.ru
5,0
Григорий
Хочу отметить четкость и внимательность лечащего врача Лейлы. К ней я обращался два раза для устранения кариеса, остался доволен процедурами.
1 августа 2025 Отзыв взят с сайта Zoon.ru
5,0
Виктор
Качество услуг в клинике на высшем уровне! Доброжелательный персонал и современный офис с продуманным дизайном создают приятную атмосферу. Особенно ценю надежные медицинские услуги – лечение проходит безболезненно, а пломбы держатся долго. Выбрал эту стоматологию, потому что здесь принимает мой лечащий врач Лейла, у которой наблюдаюсь уже много лет. Отличное отношение к клиенту и профессиональный подход!
31 июля 2025 Отзыв взят с сайта Zoon.ru
5,0
Валерий Корнеев
Хорошего специалиста я искал два года и очень рад, что нашел именно Евгения Анатольевича Соловых. Мы общаемся напрямую, я ценю его мастерство, внимание и отличные результаты. Ортодонт решил мои серьезные проблемы с имплантами, которые до этого три врача только усугубляли. Плюс ко всему в клинике все работает хорошо, сотрудники внимательные, а интерьер приятный.
31 июля 2025 Отзыв взят с сайта Zoon.ru
5,0
Елизавета
Хороший, компетентный врач — вылечил зубы за год, как и обещал. Установка брекетов прошла отлично, ездила всего один раз подклеивать, и то не по вине доктора. Доктор отвечал на все мои вопросы, даже выполнил мою просьбу снять брекеты к свадьбе. Очень клиентоориентированный подход!
31 июля 2025 Отзыв взят с сайта Zoon.ru
5,0
Екатерина
Мы обращались к внимательному и отзывчивому ортодонту, который всегда на связи. У нас стоят брекеты, поэтому уже давно с ним общаемся и доверяем. В последний визит просто подтягивали систему, всё стандартно. Кроме того, в клинике чисто, весь персонал приветливый.
30 июля 2025 Отзыв взят с сайта Zoon.ru
5,0
Ульяна
Я обращалась за установкой пломбы, и мне очень понравилась работа стоматолога: быстро, качественно и без боли. В самой стоматологии быстрый сервис, администраторы внимательные и тоже оставили хорошее впечатление.
29 июля 2025 Отзыв взят с сайта Zoon.ru
5,0
Олеся
Дочь лечила зубы и ставила брекеты у доктора Андрея Владимировича в течение двух лет, и мы остались очень довольны. Профессионализм доктора проявляется в его высоком качестве работы, личных качествах — он очень позитивный, улыбчивый человек с отличной энергетикой и золотыми руками. Я пришла к нему по рекомендации друзей. Для меня как родителя важно прежде всего профессионализм, а также адекватный прайс и конкурентоспособность цен. Спасибо за отличную работу и внимание к клиентам.
25 июля 2025 Отзыв взят с сайта Zoon.ru
5,0
Екатерина
Я знаю стоматологов этого центра и всегда спокойна за результат, уверена в нем. Для меня важно, чтобы он был положительным и задача была решена, а лечение проводилось аккуратно и профессионально. Моему супругу устанавливали импланты и лечили зубики. Врачами, которых можно отметить, являются Евгений Анатольевич и Елена Владимировна Теркулова.
25 июля 2025 Отзыв взят с сайта Zoon.ru
5,0
Наталья
Я пришла именно за доктором Евгением Анатольевичем в стоматологию, обратилась к нему по поводу протезирования. Врач снял слепки, теперь ждем следующей встречи, где доктор расскажет о плане дальнейшего протезирования.
24 июля 2025 Отзыв взят с сайта Zoon.ru
5,0
Анонимный пользователь
Я осталась очень довольна! Результат полностью оправдал мои ожидания — мне удалили зуб, а доктор Соловых Евгений дал подробную консультацию по уходу. Персональный подход был на высшем уровне, тем более я лечусь у него уже больше двадцати лет. Всё прошло отлично!
24 июля 2025 Отзыв взят с сайта Zoon.ru
5,0
Маргарита
К доктору Евгению Анатольевичу Соловых я хожу уже больше двадцати лет и каждый раз убеждаюсь в его высоком уровне мастерства и отличном общении. Врач меня поразил профессионализмом, быстро, качественно и абсолютно безболезненно установил мне виниры.
23 июля 2025 Отзыв взят с сайта Zoon.ru
5,0
Марина Тимонина
Я в восторге от стоматологии и лично Евгения Анатольевича Соловых, к которому хожу с 2012 года и его руку ни разу не меняла. Врач делает качественную работу, даже берется за сложные случаи, которые врачи других клиник отказывались делать. Последний раз я прошла полное протезирование, а так как был сложный случай с кистой и удалением зуба, имплант не прижился, и доктор сделал мост на передние нижние зубы. Все эти услуги смог выполнить только Евгений Анатольевич!
23 июля 2025 Отзыв взят с сайта Zoon.ru
5,0
Любовь Сергеевна
Хочу отметить профессионализм мужчин-врачей. Доктора мне всё объясняют, рассказывают, как будет проходить лечение. Я уже много лет хожу к Евгению Анатольевичу, познакомилась с Андреем Владимировичем и Ильей Игоревичем. Сейчас мне удалили зубы, будут ставить импланты и строить мосты. Особенно хвалю Виталия Константиновича — прекрасного грамотного и внимательного терапевта. Отношение к пациентам у мужчин доброжелательное, мне всё нравится!
23 июля 2025 Отзыв взят с сайта Zoon.ru
5,0
Ишутин Дмитрий
Клиника отличная, зубы мне лечили от кариеса прекрасные врачи. Их профессионализм и подход к клиенту на высшем уровне. Доктора поставили мне пломбу, а потом провели КТ, всё прошло отлично.
23 июля 2025 Отзыв взят с сайта Zoon.ru
5,0
Коваленко Вероника
Меня полностью устраивает стоматология, прихожу всегда с удовольствием. Я в восторге от коллектива, особенно от Андрея и Евгения Анатольевича. Меня впечатлили профессиональные врачи, которые внимательно подходят к решению всех вопросов. В последний визит мне провели сканирование, чтобы техники могли изготовить архитектуры для моего рта. Плюс должно пройти время для вживления, мне будут ставить импланты.
23 июля 2025 Отзыв взят с сайта Zoon.ru
5,0
Смирнова Анастасия
Селезнева Андрея Владимировича знаем уже давно и ходим к нему всей семьёй. Мы с ним уже примерно десять лет. Врач нравится и старшему, и младшему ребёнку. Мы ценим его подход и то, как проходит лечение. Одному из детей доктор исправил зубы, теперь она планирует снова обратиться к врачу, когда ей исполнится восемнадцать. Недавно мы ставили брекеты и внутреннюю пластину, которую временно сняли, а ещё планируем прийти на осмотр.
22 июля 2025 Отзыв взят с сайта Zoon.ru
5,0
Наталья
Порадовал первичный осмотр у доктора Селезнева Андрея Владимировича. Очень понравилось, как меня встретили и оформили, врач грамотно и подробно ответил на все вопросы. Для меня важно было получить комплексный ответ по ортодонтии и расширению челюсти ребенка, чтобы сложилась общая картина, и доктор это сделал. Мы ходили к нескольким специалистам, чтобы услышать разные мнения, и здесь получили необходимый комплексный ответ.
22 июля 2025 Отзыв взят с сайта Zoon.ru
5,0
Андрей
Обратился с проблемой, и специалист быстро решил все вопросы. Качество выполненной работы меня полностью устроило — пока проблем нет. Процедуры по протезированию и замене зуба на импланте прошли отлично. Доктор был внимателен, общение прошло комфортным образом. Очень доволен оперативностью и профессионализмом!
22 июля 2025 Отзыв взят с сайта Zoon.ru
5,0
Наталья
Внимательные специалисты, передовые технологии! Ходила на чистку зубов с использованием технологии айкон - впервые попробовала, очень понравилось. Доктор высокого класса, опытный, приветливый, доброжелательный и внимательный к пожеланиям. Обслуживание на высшем уровне!
21 июля 2025 Отзыв взят с сайта Zoon.ru
5,0
Мария
Мы ходим к одному врачу, Селезневу Андрею Владимировичу, он доброжелательный, приятный в общении, ценю его профессионализм. Недавно посетили стоматологию с сыном, ему установили брекеты, а последний визит был связан с коррекцией. Спасибо за обслуживание!
21 июля 2025 Отзыв взят с сайта Zoon.ru
5,0
Ирина
Последний раз посещала клинику для чистки зубов и профилактики. Очень понравилось, как всё сделали — качественно, аккуратно и без навязывания лишних услуг. Доктора, особенно Диана Халитовна, подошли очень ответственно, всё объяснили и сделали с большой заботой. Ранее осуществляла другие услуги, ношу материалы уже третий год, всё держится отлично, очень довольна.
4 июля 2025 Отзыв взят с сайта Zoon.ru
5,0
Лариса
Я лечусь у доктора Евгения Анатольевича всю жизнь и очень довольна качеством лечения зубов. Я посещала этого доктора более тридцати раз, и для меня важен именно он, а не сама клиника.
4 июля 2025 Отзыв взят с сайта Zoon.ru
5,0
Олег
В стоматологии мне провели гигиену полости рта, все прошло отлично. Я оценил расположение учреждения, на входной группе, где встречают, все чисто, а персонал улыбается. Сотрудники там компетентные, а сервис на высшем уровне.
4 июля 2025 Отзыв взят с сайта Zoon.ru
5,0
Анна
У меня были масштабные работы, и я ходила к конкретному врачу, Евгению Соловых. Я пришла не в клинику, а именно к этому доктору, потому что меня устраивала работа с ним. Последний раз мне оставили имплант, все работы по импланту уже закончены, все зажило, и я всем довольна.
4 июля 2025 Отзыв взят с сайта Zoon.ru
5,0
Эльвира
Меня устраивает сама клиника и особенно нравятся врачи — Евгений Соловых и терапевт Виталий Константинович Фотинов! К Евгению хожу больше 20 лет — он наш семейный стоматолог, настоящий профессионал, внимательный, постоянно учится и делает потрясающие улыбки. Виталий Константинович — золотой человек: я очень боюсь лечить зубы, но он сделал всё аккуратно и без боли, хотя я ждала худшего. Врачи здесь — выше всяких похвал, настоящие мастера!
4 июля 2025 Отзыв взят с сайта Zoon.ru
5,0
Светлана
Всё понравилось, отношение и вежливость персонала на высшем уровне. Особенно хочу отметить доктора Селезнёва Андрея — профессионал своего дела, дал полезные советы по установке брекет-систем. Все рекомендации были четкими, планирую дальше наблюдаться у него.
3 июля 2025 Отзыв взят с сайта Zoon.ru
5,0
Елена
Отношение доктора было замечательным, я заметила с его стороны высокий профессионализм, внимательность, никаких осложнений. Все прошло по порядку, без спешки. Очень довольна результатом, все прижилось без последствий, в отличие от других клиник. Имплантация, удаление, лечение зубов — все было выполнено на отлично.
3 июля 2025 Отзыв взят с сайта Zoon.ru
Удалить отзыв
Популярные услуги
Удаление зубов
от 5000 руб.
Виниры
от 40000 руб.
Базовая стоматология
от 7500 руб.
Стоматологическая клиника
уточняйте по телефону
Имплантация зубов
от 60000 руб.
Отбеливание зубов
от 40000 руб.
Металлокерамика на зубы
35000 руб.
Ортодонтия
от 8000 руб.
Ортопедическая стоматология
уточняйте по телефону
Рентген зуба
уточняйте по телефону
Остались вопросы?
Вы можете воспользоваться любым из указанных способов связи
Контактный номер
+7 (966) 295-30-...
Показать